Dr. Charvat über Implantate
Einfach
Für mich ist das Implantieren durch meine jahrzehntelange Erfahrung mittlerweile „einfach“. Seit 1995 habe ich an die 21.560 Implantate gesetzt.
Wir führen eine genaue Diagnose mithilfe unseres eigenen Volumentomographs (DVT) durch und bestimmen so die genaue Breite und die Höhe des Knochens. Mithilfe dieser Angaben wähle ich individuell die Implantatlänge und lege den Implantatdurchmesser fest. Somit ist eine genaue Operationsplanung möglich und das gewünschte Ergebnis „einfach“ erzielbar.

Digitaler Volumentomograph
Leistbar und qualitativ hochwertig
Leistbar ist es dann, wenn durch die genaue Planung der erstellte Heilkostenplan eingehalten werden kann und keine zusätzlichen Kosten entstehen.
Eine konkrete Preisangabe im Internet, per Telefon oder Email ist nicht erlaubt. Gerne bieten wir Ihnen einen kostenlosen Beratungstermin an, bei dem wir einen persönlichen Heilkostenplan erstellen der genau auf Ihre Bedürfnisse zugeschnitten ist.
Schnell
Aufgrund unserer langjährigen Expertise und der detaillierten Planung, aber auch Dank des eingespielten OP-Teams, ist es uns möglich zügig zu implantieren.
Wir benötigen für ein Implantat ca. 12 Minuten, für zwei Implantate 17 Minuten, für drei Implantate 22 Minuten und für ein All-on-4 rund 35 Minuten. Durch diese kurzen Operationszeiten entstehen nur geringe Traumata, wodurch Schmerzen nach der OP fast gänzlich vermieden werden können.
Dr. Charvat beim Behandeln
Schmerzfrei
Implantieren tut nicht weh.
Durch eine lokale Betäubung mit einer Injektion verursacht die Operation selbst keine Schmerzen. Auch nach der Operation schmerzt es meist viel weniger als zum Beispiel nach dem Zahnziehen, da man nur in einen gesunden und vollkommen entzündungsfreien Knochen implantiert.
Ein bis zwei Schmerztabletten nach der Operation sind ausreichend, viele Patienten benötigen überhaupt kein Schmerzmittel.
Wir bieten auch an, die Behandlung im Dämmerschlaf durchzuführen. So wird das Implantieren für Sie noch angenehmer Operation in Sedoanalgesie; so wie bei einer Gastro- oder Coloskopie leitet unser Anästhesist eine Schlafnarkose ein. Dabei erinnert man sich an nichts und bekommt nichts mit, ist jedoch ansprechbar. Durch die während der Operation infundierten Medikamente kommt es auch zu geringeren Schmerzen oder Schwellungen.
Dr. Klaus Charvat – die persönliche Erfolgsstatistik
Nach mehrjähriger Ausbildung in Österreich, der Schweiz und den USA habe ich 1996 zu implantieren begonnen. Seitdem habe ich tausende Implantate gesetzt, die bei über 98% der Patienten eingeheilt sind: Erfahrung und Kompetenz bringen Erfolg.
Seit ca. 25 Jahren haben sich Implantate in der Zahnheilkunde bewährt. Von den Anfängen bis heute sind die Implantatsysteme laufend weiterentwickelt und verbessert worden. Nun gibt es moderne und zuverlässige Systeme, die in der Hand eines erfahrenen Implantologen sehr gut und sehr lange halten. Unter einem Implantat versteht man einen Zahnwurzelersatz, mit welchem wir Lücken im Gebiss schließen oder auch komplett zahnlose Kiefer wieder mit Zähnen versorgen können.
Implantate sind künstliche Zahnwurzeln aus Titan, die durch das absolut allergiefreie Material sehr gut verträglich sind und fix im Kieferknochen eingesetzt werden. Der auf diesen „Zahnwurzeln“ befestigte Zahnersatz hält fest und langfristig. Ein besonders großer Vorteil der Implantate ist, dass die gesunden Zähne nicht bearbeitet werden müssen. Es handelt sich also um eine substanz-schonende Versorgung.
Das Implantat wird während eines kurzen und schmerzlosen Eingriffs direkt in unserer Ordination eingesetzt. Dieser Vorgang geht sehr schnell und dauert nur wenige Minuten. Wir bieten auch an, die Behandlung im Dämmerschlaf durchzuführen, so wird das Implantieren für Sie noch angenehmer. Die darauffolgende „Einheilphase“ von drei bis sechs Monaten dient dazu, dass der Kieferknochen an das Implantat anwächst und dieses somit fest verankert wird.
Abschließend erhalten Sie von uns auf den Implantaten Ihre „neuen“ Zähne in Form von individuell für Sie erstellten Kronen oder Brücken, mit welchen Sie wieder alles essen, unbeschwert lachen und das Leben voll genießen können.
Was können Implantate für mich tun?
Zum Beispiel bei schleimhautgetragenen Prothesen: Diese können unangenehme Gefühle beim Essen auslösen, bieten schlechter Halt, stören oft den Geschmack, haben eine mangelhafte Ästhetik oder verursachen Probleme beim Sprechen. Zusätzlich können Zahnfleischreizungen durch das Verrutschen der Prothese entstehen oder psychische Belastungen hervorgerufen werden.
Expertenwissen

Ein Implantat ist eine Titanschraube, die in den Knochen eingebracht wird. Titan ist das einzige Metall, das bioverträglich ist. Es wird seit ca. 30 Jahren (z.B. als Hüftgelenk) eingesetzt. Der Knochen wächst dann direkt an das Implantat an. Das Implantat wird somit komplett fest. Ein oder mehrere Implantate können so eine Krone, eine Brücke oder Prothesen tragen.
Eine lokale Betäubung durch eine Injektion schafft eine vollkommene Schmerzfreiheit, so dass die Operation selbst keine Schmerzen verursacht.
Zuerst wird der Knochen durch einen Schnitt freigelegt, dann werden mit einem Bohrer Löcher für die Implantate gebohrt. In diese werden die Implantate geschraubt werden. Wenn alle Implantate eingesetzt sind, wird das Zahnfleisch zugenäht.
Nach der Operation schmerzt es meist viel weniger als z.B. nach dem Zahnziehen, weil man ja nur in einen gesunden und vollkommen entzündungsfreien Knochen implantiert. Durch geeignete Tabletten ist man fast schmerzfrei.
Patientenfälle
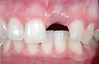
Ein Zahn ist durch die Entzündung der Wurzelspitze verloren gegangen. Auf das eingesetzte Implantat wird ein Keramikaufbau gesetzt und in diesen die Reinkeramikkrone einzementiert.

Vorher

Nachher
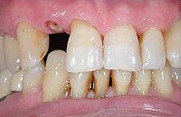
Ein Zahn ist abgebrochen. Nach einem Sofortimplantat mit provisorischer Krone kann der Patient wieder strahlen.

Vorher

Nachher
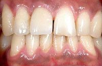
Ein Zahn wurde extrahiert, da er durch eine Verletzung einen Wurzelschaden erlitten hat. In der Zahnlücke sitzt nun eine Keramikkrone auf einem Implantat.

Vorher

Nachher

